Welcome to Restore Dental Wellness – Previously Iacobelli and Sala 

8030 Corporate Circle

North Royalton,
OH 44133

(440) 845-7300

You can call us at:
440.845.7300

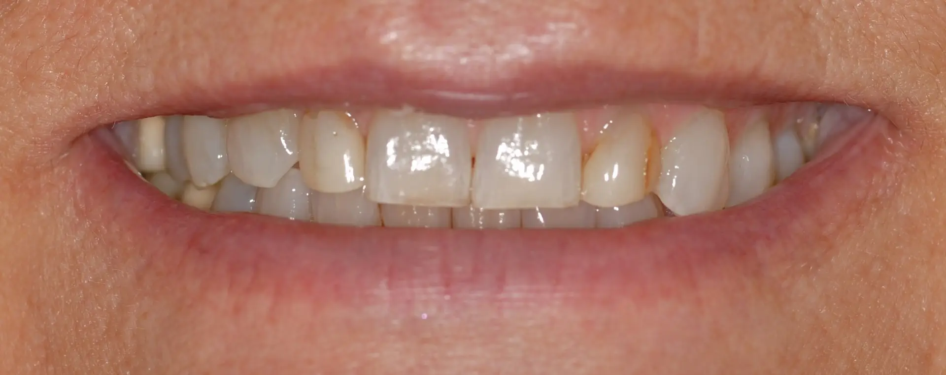
Smile Gallery in North Royalton | Broadview Heights | Strongsville, OH

View Our smile transformation gallery

Cosmetic Dentistry in North Royalton, OH Shows happy dental implant patient with Dr. Sala, our dentist.
Before After
Before After
Before After
Before After